Atrt Cancer Symptoms In Babies : Daniela Alvarez Atypical Teratoid Rhabdoid Tumor Atrt : Anyone can get cancer — even babies.
Dapatkan link
Facebook
X
Pinterest
Email
Aplikasi Lainnya
Atrt Cancer Symptoms In Babies : Daniela Alvarez Atypical Teratoid Rhabdoid Tumor Atrt : Anyone can get cancer — even babies.. Atrt is a primary central nervous system (cns) tumor. A rhabdoid tumor that grows in the kidneys and soft tissues is called a malignant rhabdoid tumor (mrt). Some other symptoms of cancer in children might include fever, frequent infections, bone pain, night sweats, vomiting, and headaches, all of which children often have when they have more common and less serious viral infections or other common problems of childhood. However, about 10% of all at/rt cases have what's called a germline mutation, or a. A neuropathologist should then review the tumor tissue.
Headache, often worse in the morning and/or improves after vomiting A rhabdoid tumor that grows in the kidneys and soft tissues is called a malignant rhabdoid tumor (mrt). Babies and cancer q&a by erin breese, m.d. Headache, generally upon awakening in the morning hydrocephalus, where there is a buildup of fluid in the brain, can increase head size in infants or headaches and vomiting in older children nausea and vomiting, often worse in the morning and improve throughout the day Cancers in children are sometimes hard to recognize because common illnesses or everyday bumps and bruises can mask the early warning signs.
Kayne S Story Atypical Teratoid Rhabdoid Tumour At Rt Cci from d1on96qv1pxmre.cloudfront.net Atypical teratoid/rhabdoid tumor (at/rt or atrt) is an infrequent, aggressive, highly malignant tumor, affecting the central nervous system (cns) and brain of infants and very young children. Malignant rhabdoid tumors occur most commonly in infants and toddlers; Like a lottery nobody wants to win, we suddenly found ourselves in a category of cancer so small, so. Baldrick's fellow studying infant leukemia, explains the signs, symptoms and treatment of babies with cancer, and how research is helping pinpoint better therapies so babies with cancer can grow up to live long, healthy. Enlarged lymph nodes (seen or felt as lumps under the skin) swollen abdomen (belly) feeling full after only a small amount of food. Atrt is a very difficult tumor to cure, and, unfortunately, the outcomes remain poor. Anyone can get cancer — even babies. Check with your child's doctor if your child has any of the following:
It can sometimes grow in the brain, also known as atypical teratoid rhabdoid tumor (atrt).
In general, older children with atrt tend to do better than younger children. Symptoms of brain tumors in children symptoms of brain tumors in children vary depending on the size, location, type and grade of the tumor. It's an extremely rare type of brain tumor that mainly affects children under age 3. Declan, then 15 months old, had an atypical teratoid rhabdoid tumor (at/rt), a rare cancer that affects the brain and central nervous system. Atrt is a primary central nervous system (cns) tumor. The cell of origin of this tumor is unknown; 6 originally described in the 1980s, atrt has been. Because atypical teratoid/rhabdoid tumor is fast growing, signs and symptoms may develop quickly and get worse over a period of days or weeks. The tumors may arise anywhere in the nervous system but typically appear in the cerebellum. To get an accurate diagnosis, a piece of tumor tissue will be removed during surgery, if possible. Approximately 90 percent of these tumors have a chromosomal abnormality involving chromosome 22. Anyone can get cancer — even babies. Occasionally, older children can be diagnosed with at/rt.
Atypical teratoid/rhabdoid tumor (at/rt or atrt) is an infrequent, aggressive, highly malignant tumor, affecting the central nervous system (cns) and brain of infants and very young children. Headache, generally upon awakening in the morning hydrocephalus, where there is a buildup of fluid in the brain which can result in increased head size in infants or headaches and vomiting in older children nausea and vomiting, often worse in the morning and improve throughout the day 6 originally described in the 1980s, atrt has been. Signs and symptoms may be caused by at/rt or by other conditions. To get an accurate diagnosis, a piece of tumor tissue will be removed during surgery, if possible.
Parents Give Smile Packs To Pediatric Cancer Patients In Honor Of Their Daughter Who Died From A Tumor Parents from imagesvc.meredithcorp.io They may also appear in the kidneys of infants. What are the signs and symptoms of a pediatric atypical teratoid rhabdoid tumor (atrt)? Symptoms of atrt may include the following: An atypical teratoid rhabdoid tumor (at/rt) is a rare tumor usually diagnosed in childhood. Atrt is a very difficult tumor to cure, and, unfortunately, the outcomes remain poor. The tumors may arise anywhere in the nervous system but typically appear in the cerebellum. Signs and symptoms of at/rt can vary based on the child's age and tumor location. Declan, then 15 months old, had an atypical teratoid rhabdoid tumor (at/rt), a rare cancer that affects the brain and central nervous system.
In infants you may see an increase in the size of the head, and for patients of all ages the most common symptoms are:
3 so how do you know if your child has one of these cancers? The cell of origin of this tumor is unknown; Little is known, however, about the symptoms and suffering at the end of life in children with cancer. The average age of diagnosis is 15 months old. Morning headache or headache that goes away after vomiting. Enlarged lymph nodes (seen or felt as lumps under the skin) swollen abdomen (belly) feeling full after only a small amount of food. Headaches in the morning headaches that are less painful after the child vomits increase in head size (in infants birth to 1 year*) Baldrick's fellow studying infant leukemia, explains the signs, symptoms and treatment of babies with cancer, and how research is helping pinpoint better therapies so babies with cancer can grow up to live long, healthy. The other symptoms depend on where in the body the cancer. To get an accurate diagnosis, a piece of tumor tissue will be removed during surgery, if possible. Like a lottery nobody wants to win, we suddenly found ourselves in a category of cancer so small, so. Atrt is a very difficult tumor to cure, and, unfortunately, the outcomes remain poor. Signs and symptoms may be caused by at/rt or by other conditions.
It tends to show up in the arms, legs, or trunk. Little is known, however, about the symptoms and suffering at the end of life in children with cancer. Defects on chromosome 22 are linked to at/rt. Morning headaches or headaches that are less painful after vomiting Atypical teratoid/rhabdoid tumor (at/rt or atrt) is an infrequent, aggressive, highly malignant tumor, affecting the central nervous system (cns) and brain of infants and very young children.
Parents Give Smile Packs To Pediatric Cancer Patients In Honor Of Their Daughter Who Died From A Tumor Parents from imagesvc.meredithcorp.io 6 originally described in the 1980s, atrt has been. However, about 10% of all at/rt cases have what's called a germline mutation, or a. Signs and symptoms may be caused by at/rt or by other conditions. Morning headaches or headaches that are less painful after vomiting It tends to show up in the arms, legs, or trunk. Atypical teratoid rhabdoid tumor (atrt) of the central nervous system (cns) is a highly malignant embryonal neoplasm (grade 4 according to the world health organization classification) that typically occurs in children aged <3 years. Background cancer is the second leading cause of death in children, after accidents. This means it begins in the brain or spinal cord.
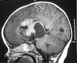
Mri of an atypical teratoid rhabdoid tumor (atrt) in the brain.
Headache, generally upon awakening in the morning hydrocephalus, where there is a buildup of fluid in the brain, can increase head size in infants or headaches and vomiting in older children nausea and vomiting, often worse in the morning and improve throughout the day An atypical teratoid rhabdoid tumor (atrt) is a very rare, aggressive tumor of the central nervous system, occurring mostly in the cerebellum, the part of the brain that controls movement and balance, or the brain stem, the part of the brain that controls basic body functions. Headache, which is often worse in the morning or improves after vomiting Check with your child's doctor if your child has any of the following: The other symptoms depend on where in the body the cancer. What are the signs and symptoms of a pediatric atypical teratoid rhabdoid tumor (atrt)? Occasionally, older children can be diagnosed with at/rt. Declan, then 15 months old, had an atypical teratoid rhabdoid tumor (at/rt), a rare cancer that affects the brain and central nervous system. Signs and symptoms may be caused by atrt or by other conditions. The tumors may arise anywhere in the nervous system but typically appear in the cerebellum. Symptoms of a brain tumor develop when abnormal tissue expands and puts pressure on healthy brain tissue or the tumor interferes with the normal flow of fluid around the brain and spinal cord. To get an accurate diagnosis, a piece of tumor tissue will be removed during surgery, if possible. Background cancer is the second leading cause of death in children, after accidents.
Yang 0.998217711968781 dan 1.27281754304555 di 1.40586624720146 itu 1.60605525635212 dengan 1.92694315549759 ini 2.04249539860528 untuk 2.05573034539414 dari 2.09959237384937 dalam 2.11677996685297 tidak 2.11939383059724 akan 2.4399120190214 pada 2.62667215573031 juga 2.67282100848081 … Biaya pjnp, pnbp dan investasi keinspekturan dan pengawasan pengalihan pelayanan navigasi penerbangan perizinan di bidang navigasi penerbangan tatanan navigasi penerbangan sms dan ssp sanksi administratif standar operasional prosedur (sop) sistem pengendalian intern (spi) surat edaran direktur × regulasi produk hukum. Entdecke rezepte, einrichtungsideen, stilinterpretationen und andere ideen zum ausprobieren. Pdf List Provider Allianz 22 Januari Bagus Hermawan Academia Edu from 0.academia-photos.com Biaya pjnp, pnbp dan investasi keinspekturan dan pengawasa...
How To Make A Pokemon Card Deck : 5 Best Pokemon Decks For Online Tgc Meta And Tournaments : Consider having complementing types such that the strength of the other complements the weakness of one pokémon. . Learn how to build a pokémon tcg deck. Make sure that you have enough supporter cards to make a pokemon deck consistent. Most players use ptcgoprices as a point of reference. Pick a few pokémon to build your deck around. Before you begin, it's important to note that each deck must contain exactly. This applies to all types of cards, except energy cards. Build your pokemon tcg deck using our online deck builder. Learn how to build a pokémon tcg deck. Make decks that counter your deck so you can find ways to handle your strongest opponents. Stick with pokémon that are of the same type. Deck Building Darkintegralgaming from images.squarespace-cdn.com ...
Birthday Card Ideas For Toddlers To Make - Homemade Cards for Kids to Make | Your life, Homemade and ... : This video shows how to make a birthday card with white paper a4 size without glue. . I particularly like the pop up animal cards for little ones. Unique homemade birthday card ideas for kids. But why not see for yourself? Choose from hundreds of templates, add photos and your own message. Get all the details from buckets and spades. If you are looking for some great ideas for homemade cards that kids can make, we've got you covered. Choose from hundreds of templates, add photos and your own message. You just need to cut the paper in the ballon shape and then color those ballons. Keep up the good work. Birthday card for aunt homemade birthday cards grandma birthday kids birthday cards bday cards birthday crafts happy birthday birthday recipes birthday nails. Cute Handmade Cupcake...
Komentar
Posting Komentar